口元は顔の印象を決定づけます。

女性誌のアンケート(※)によると
顔の印象を決めると思うパーツのうち
口は目に次いで第2位という結果になりました。
口元が美しくなるだけで
健康的で明るく若々しい印象を与えることができます。
※cancam.jp 2018.10.21
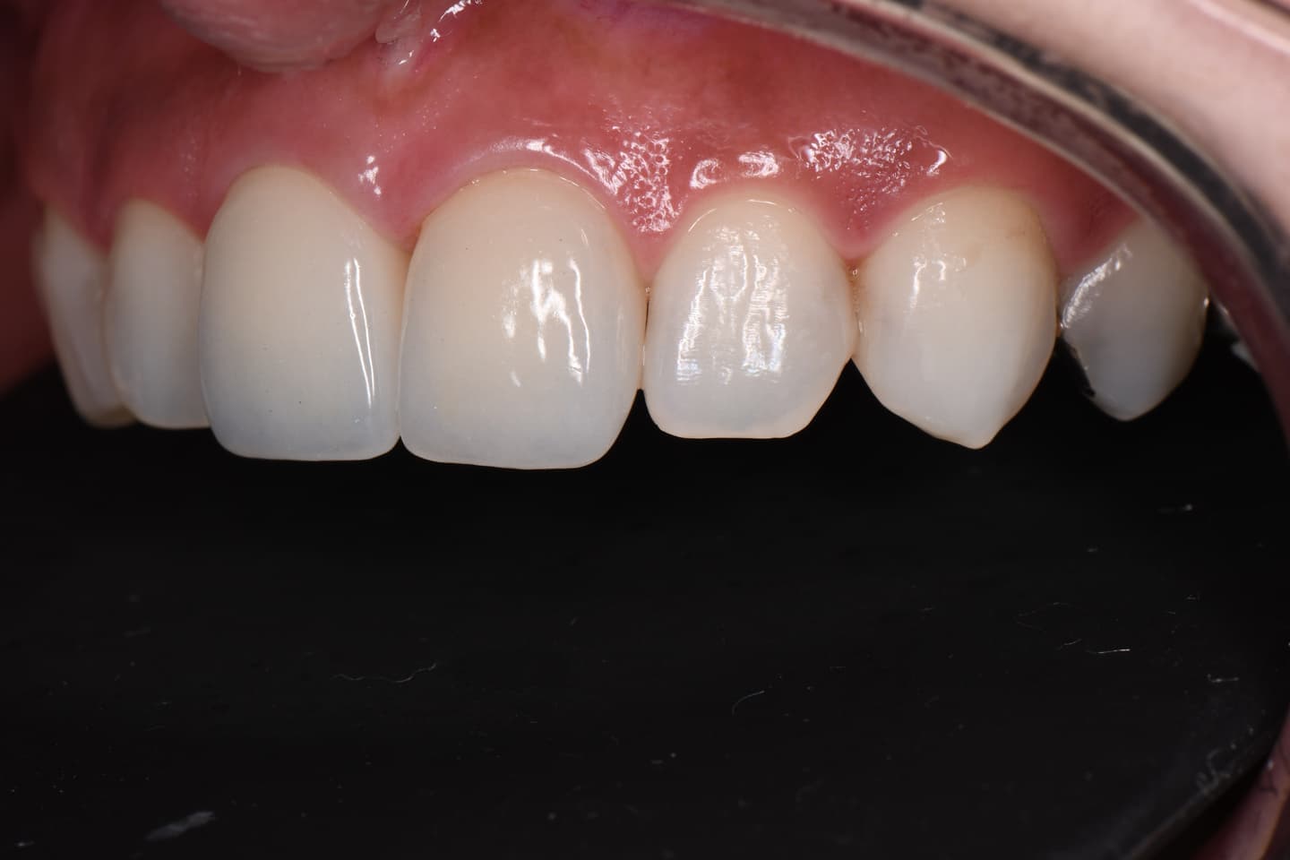
より美しい歯は、当院の得意分野です

「他の歯科医院で前歯を入れたけど、なんとなく変な気がする」
「もっとキレイな歯を入れたいけど、どう治していいかわからない」
「ネットで探すけど、どこで治していいか分からない」
これは患者さんからよく相談される悩みです。
口元にコンプレックスを持っている方はとても多くいらっしゃいます。
見た目を美しく調和させる治療は
当院の最も得意とする分野です。
もしこんな悩みがあったら、当院でお役に立てるかも知れません。
歯や口元の見た目が気になる方は
是非一度ご相談下さい。
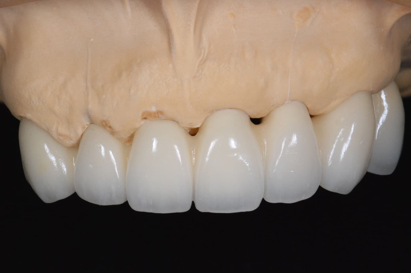
歯のカタチは印象を変える

歯のカタチは人それぞれ
例えば、性別、顔の輪郭、笑ったときの歯の見え方などで
似合う歯のカタチは違うものです。
さらに、職業や好みによって
知的でかっこよく見せたいとき、
女性的でかわいく見せたいとき、
モデルや女優のように白い歯にしたいときなど
ほんの少し歯のカタチが変わることで印象が大きく変わります。
あなたに合った口元をご提案します

一人ひとりの口元にあった歯を作るためには、
審美性に優れる歯を作ることのできる
「歯科技工士」の存在が必要不可欠です。
歯科医師、または歯をデザインする歯科技工士が直接ご要望を伺い、
顔立ちや口元、生活背景などを総合して
理想的な歯のカタチをご提案致します。
目標はあなたの笑顔を輝かせること

審美修復に関するご希望やご質問がありましたらお気軽にお問い合わせ下さい。
見た目を美しくする治療のながれ

①カウンセリング

②シミュレーション

③プロビジョナル

④修復物の作製

⑤セット
※治療についてのご注意
少数歯の修復の場合は別途技工士立会料(¥22,000)がかかります。
多数歯の修復や矯正、外科処置が必要と判断した場合は別途分析料(¥55,000)がかかります。
口腔内の状態により見た目を美しくする治療を行えない場合があります。